49,XXXXY Syndrome Dental Treatment: a Case Report
DOI:
https://doi.org/10.2015/hc.v9i4.606Keywords:
XXXXY syndrome, dentofacial manifestations, dental careAbstract
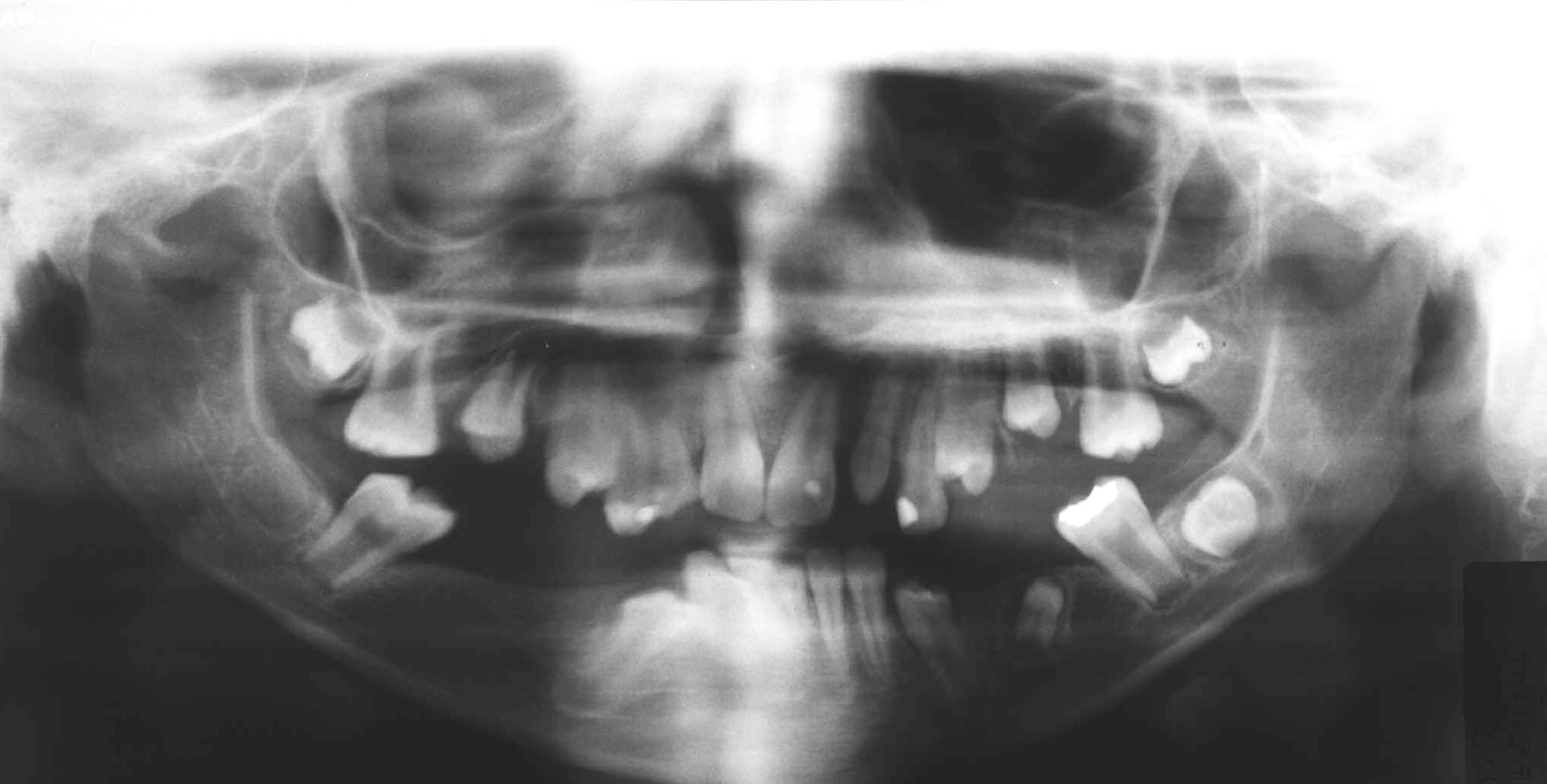
This paper presents a 12-year-old male patient with XXXXY syndrome, who was treated under general anesthesia twice due to mental retardation and uncooperative behavior. The general and dentofacial manifestations of XXXXY syndrome where present.The child had to be treated as as an emergency case both times due to severe pain and abcesses. Several teeth were severely decayed and had to be extracted that led to severe anodontia as there were no secondary dentition to follow. This case emphasises the importance of regular dental care, good nutricion and monitoring of dental development in children with XXXXY syndrome.
Key-words: XXXXY syndrome,dentofacial manifestations,dental care
Downloads
Additional Files
Published
Issue
Section
License
Authors who publish with this journal agree to the following terms:a. Authors retain copyright and grant the journal right of first publication with the work simultaneously licensed under a Creative Commons Attribution License that allows others to share the work with an acknowledgement of the work's authorship and initial publication in this journal.
b. Authors are able to enter into separate, additional contractual arrangements for the non-exclusive distribution of the journal's published version of the work (e.g., post it to an institutional repository or publish it in a book), with an acknowledgement of its initial publication in this journal.
c. Authors are permitted and encouraged to post their work online (e.g., in institutional repositories or on their website) prior to and during the submission process, as it can lead to productive exchanges, as well as earlier and greater citation of published work (See The Effect of Open Access).