Concealed Myocardial Infarction Revealed by High Lateral and Posterior Electrocardiographic Leads
DOI:
https://doi.org/10.2015/hc.v6i2.376Keywords:
high lateral electrocardiographic leads, posterior ECG leads, 15-lead ECG, posterolateral myocardial infarction, coronary angioplasty, coronary stentingAbstract
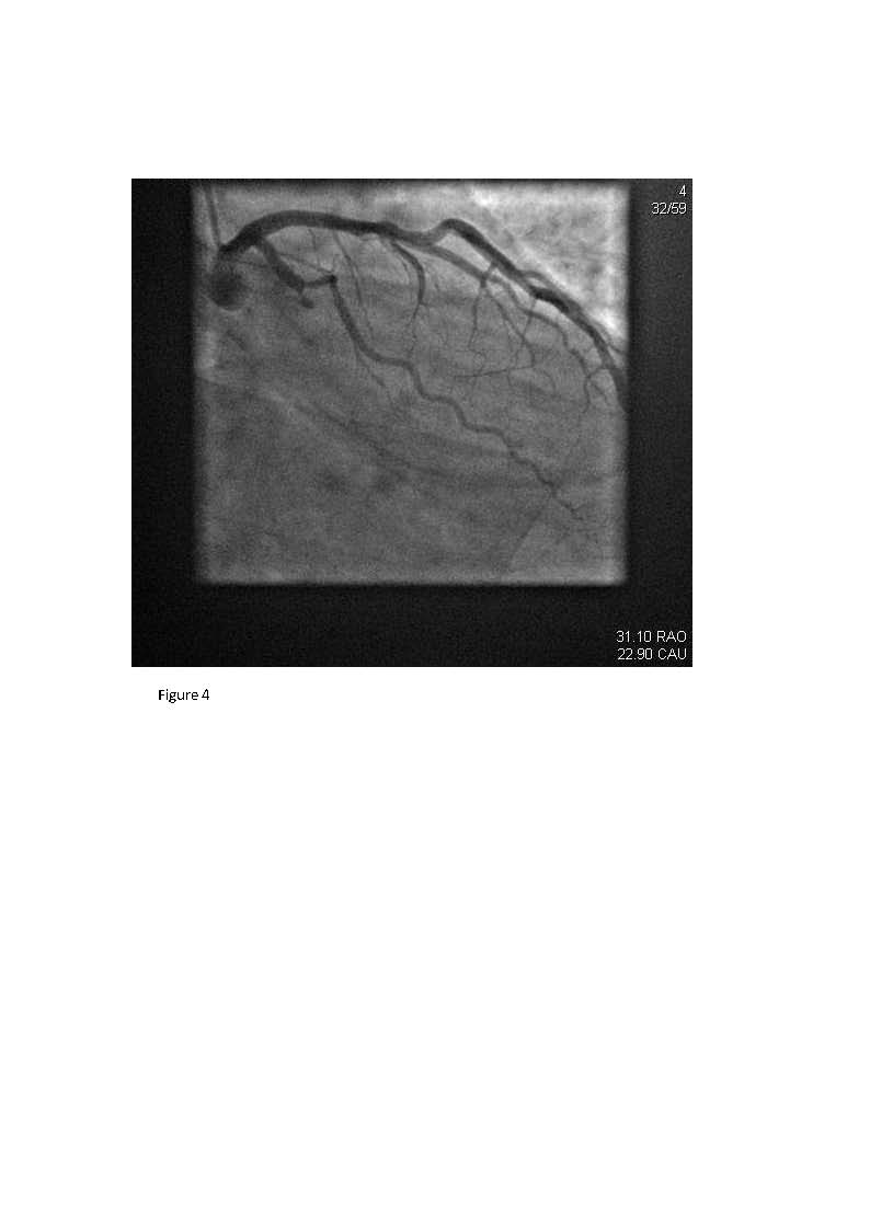
We report the case of a 50-year-old man with history of hypertension who presented with chest pain and subtle electrocardiographic (ECG) abnormalities. Only with the aid of additional high lateral and posterior ECG leads (V7-9) was a posterolateral acute myocardial infarction identified and subsequently confirmed with positive cardiac enzyme serology. Coronary angiography showed total occlusion of the left circumflex coronary artery, which was successfully recanalized via coronary angioplasty and stenting. This case highlights the use of high lateral and posterior ECG leads (15-lead ECG) in enhancing the diagnostic yield of a conventional ECG in patients presenting with symptoms suspicious for an acute coronary syndrome by disclosing a posterior myocardial infarction and guiding reperfusion therapy.
Downloads
Additional Files
Published
Issue
Section
License
Authors who publish with this journal agree to the following terms:a. Authors retain copyright and grant the journal right of first publication with the work simultaneously licensed under a Creative Commons Attribution License that allows others to share the work with an acknowledgement of the work's authorship and initial publication in this journal.
b. Authors are able to enter into separate, additional contractual arrangements for the non-exclusive distribution of the journal's published version of the work (e.g., post it to an institutional repository or publish it in a book), with an acknowledgement of its initial publication in this journal.
c. Authors are permitted and encouraged to post their work online (e.g., in institutional repositories or on their website) prior to and during the submission process, as it can lead to productive exchanges, as well as earlier and greater citation of published work (See The Effect of Open Access).