Imaging of Cardiac Tumors and Masses
DOI:
https://doi.org/10.2015/hc.v5i1.182Abstract
Objective: As noninvasive imaging is gaining widespread acceptance, the aim of the present study was to review our experience with the use of cross sectional imaging modalities to evaluate cardiac tumors and masses.
Background: Proper diagnosis of the type and extension of a cardiac tumor or mass is very important for therapy planning. Echocardiography has an established role as a non-invasive diagnostic imaging modality. Computed tomography (CT) and magnetic resonance imaging (MRI) also provide adequate delineation of cardiac tumors and masses.
Methods: Twenty-two patients referred to our department with a suspected cardiac mass, previously detected by cardiac ultrasound, were evaluated by CT (12 patients) and MRI (4 patients). Six patients were examined by both modalities. In 2 cases of staging of a known primary neoplasm and one case of a suspected epicardiac lesion, positron emission tomography (PET-CT) was performed. The CT cardiac examinations were performed using a 16-slice multislice scanner with ECG gating. The MRI examination was performed on a 1.5 Tesla MRI scanner using an ECG-gated cardiac protocol and the PET-CT examination was performed on an integrated PET-CT four-slice scanner, using 370 mMBq of fluorodeoxyglucose.
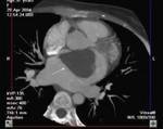
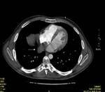
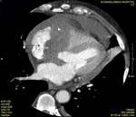
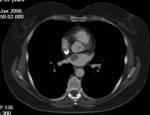
Results: Twenty-two cardiac masses were successfully detected and their characteristics adequately delineated, including eight myxomas, one angiosarcoma, one ventricular lymphoma, one endocardiac metastasis, one epicardiac paraganglioma, and 10 cases of intracardiac thrombi.
Conclusion: CT and MRI are noninvasive imaging modalities which can delineate cardiac tumors and masses and provide essential information for adequate diagnosis, staging and treatment planning. Compared to cardiac ultrasound, CT and MRI are superior in preoperative planning.
Key words: cardiac tumors, cross sectional imaging modalities, computed tomography, magnetic resonance imaging
Downloads
Additional Files
Published
Issue
Section
License
Authors who publish with this journal agree to the following terms:a. Authors retain copyright and grant the journal right of first publication with the work simultaneously licensed under a Creative Commons Attribution License that allows others to share the work with an acknowledgement of the work's authorship and initial publication in this journal.
b. Authors are able to enter into separate, additional contractual arrangements for the non-exclusive distribution of the journal's published version of the work (e.g., post it to an institutional repository or publish it in a book), with an acknowledgement of its initial publication in this journal.
c. Authors are permitted and encouraged to post their work online (e.g., in institutional repositories or on their website) prior to and during the submission process, as it can lead to productive exchanges, as well as earlier and greater citation of published work (See The Effect of Open Access).