Mycotic Aneurysm of the Abdominal Aorta: Early and Late Computed Tomography Findings
DOI:
https://doi.org/10.2015/hc.v4i4.164Keywords:
mycotic aneyrysm, ct, infection, diabetesAbstract
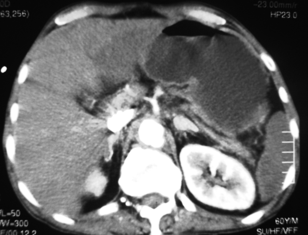
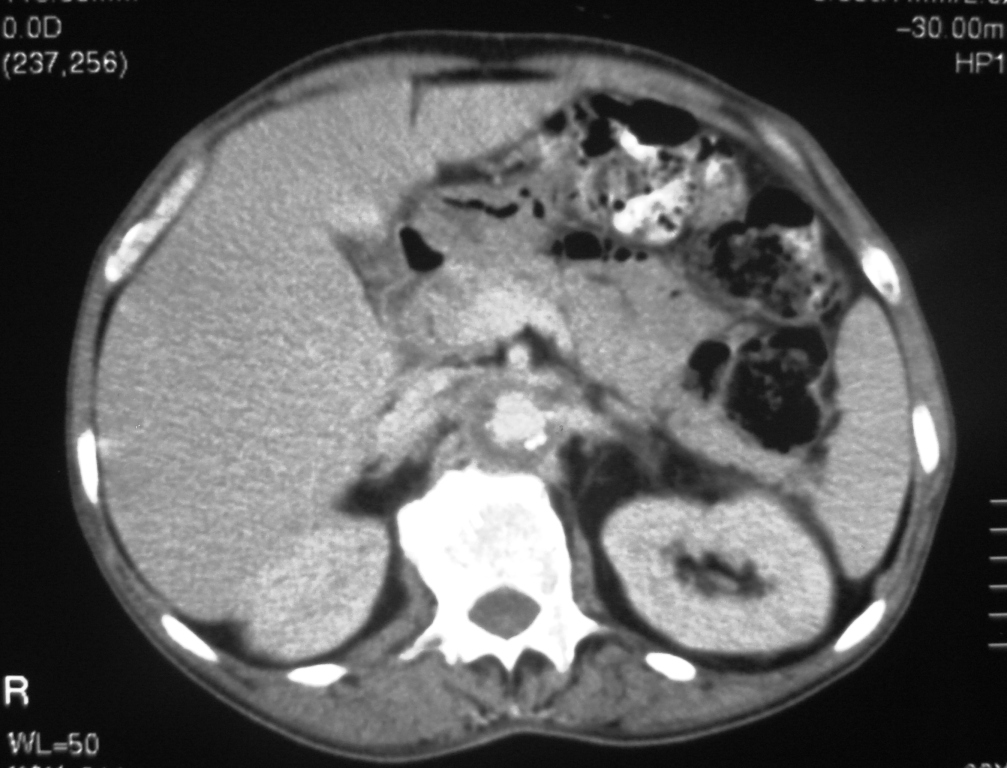
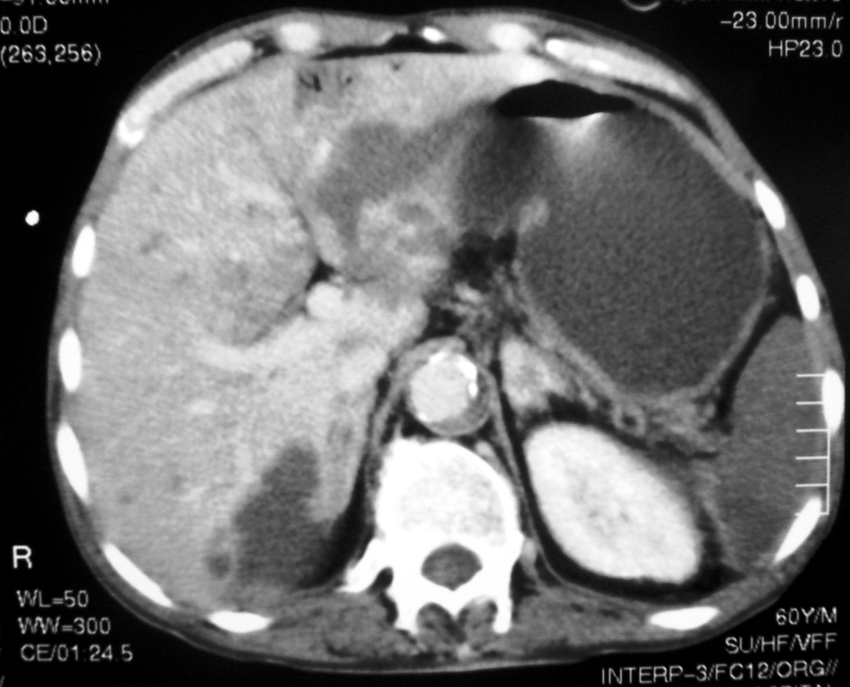
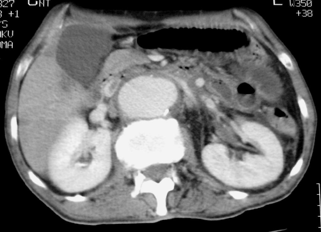
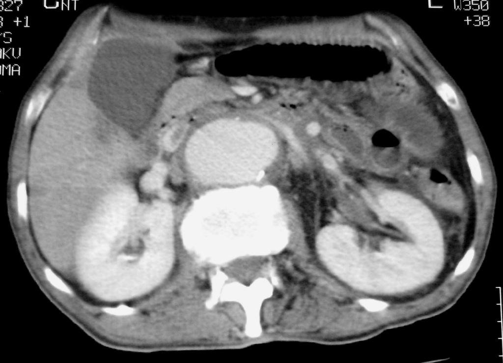
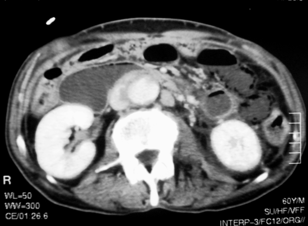
We describe the case of a 60-year-old diabetic man who was admitted to our hospital with keto-acidosis and rapidly developed sepsis and a mycotic abdominal aortic aneurysm (AAA) with branch involvement. Early and late findings on serial computed tomography (CT) examinations are presented. Awareness and recognition of early imaging findings associated with infectious aortitis and serial CT examination in cases of patients with sepsis and predisposing factors are essential for prompt diagnosis and treatment.
Downloads
Additional Files
- MYCOTIC ANEURYSM OF THE ABDOMINAL AORTA: EARLY AND LATE CT FINDINGS
- MYCOTIC ANEURYSM OF THE ABDOMINAL AORTA: EARLY AND LATE CT FINDINGS
- MYCOTIC ANEURYSM OF THE ABDOMINAL AORTA: EARLY AND LATE CT FINDINGS
- MYCOTIC ANEURYSM OF THE ABDOMINAL AORTA: EARLY AND LATE CT FINDINGS
- MYCOTIC ANEURYSM OF THE ABDOMINAL AORTA: EARLY AND LATE CT FINDINGS
- MYCOTIC ANEURYSM OF THE ABDOMINAL AORTA: EARLY AND LATE CT FINDINGS
- MYCOTIC ANEURYSM OF THE ABDOMINAL AORTA: EARLY AND LATE CT FINDINGS
Published
Issue
Section
License
Authors who publish with this journal agree to the following terms:a. Authors retain copyright and grant the journal right of first publication with the work simultaneously licensed under a Creative Commons Attribution License that allows others to share the work with an acknowledgement of the work's authorship and initial publication in this journal.
b. Authors are able to enter into separate, additional contractual arrangements for the non-exclusive distribution of the journal's published version of the work (e.g., post it to an institutional repository or publish it in a book), with an acknowledgement of its initial publication in this journal.
c. Authors are permitted and encouraged to post their work online (e.g., in institutional repositories or on their website) prior to and during the submission process, as it can lead to productive exchanges, as well as earlier and greater citation of published work (See The Effect of Open Access).