Sudden Arrhythmic Death: Family Evaluation Identifies the Cause
DOI:
https://doi.org/10.2015/hc.v10i3.610Keywords:
sudden death, family history, arrhythmogenic right ventricular dysplasia, genetic testingAbstract
A 23-year-old female professional dancer died suddenly following physical activity. Routine postmortem examination failed to establish the cause of death. No cardiac structural abnormalities were revealed. She had a history of presyncopal episodes during the last two months preceding her sudden cardiac death (SCD). Following the proband’s death, her family was referred to our department for clinical evaluation. Following informed consent, family members were evaluated with a standard protocol. All individuals underwent detailed non-invasive evaluation followed by genetic testing.
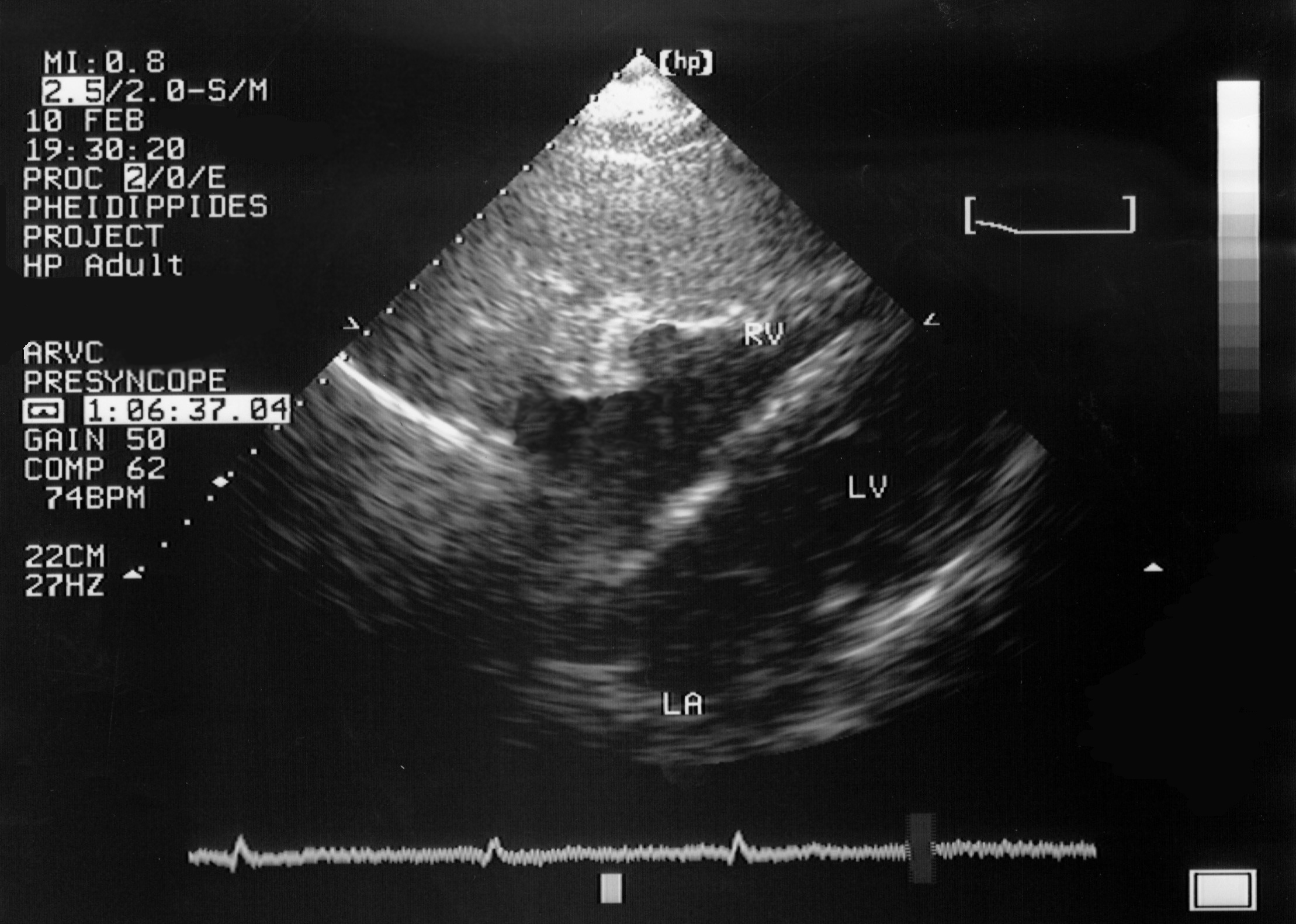
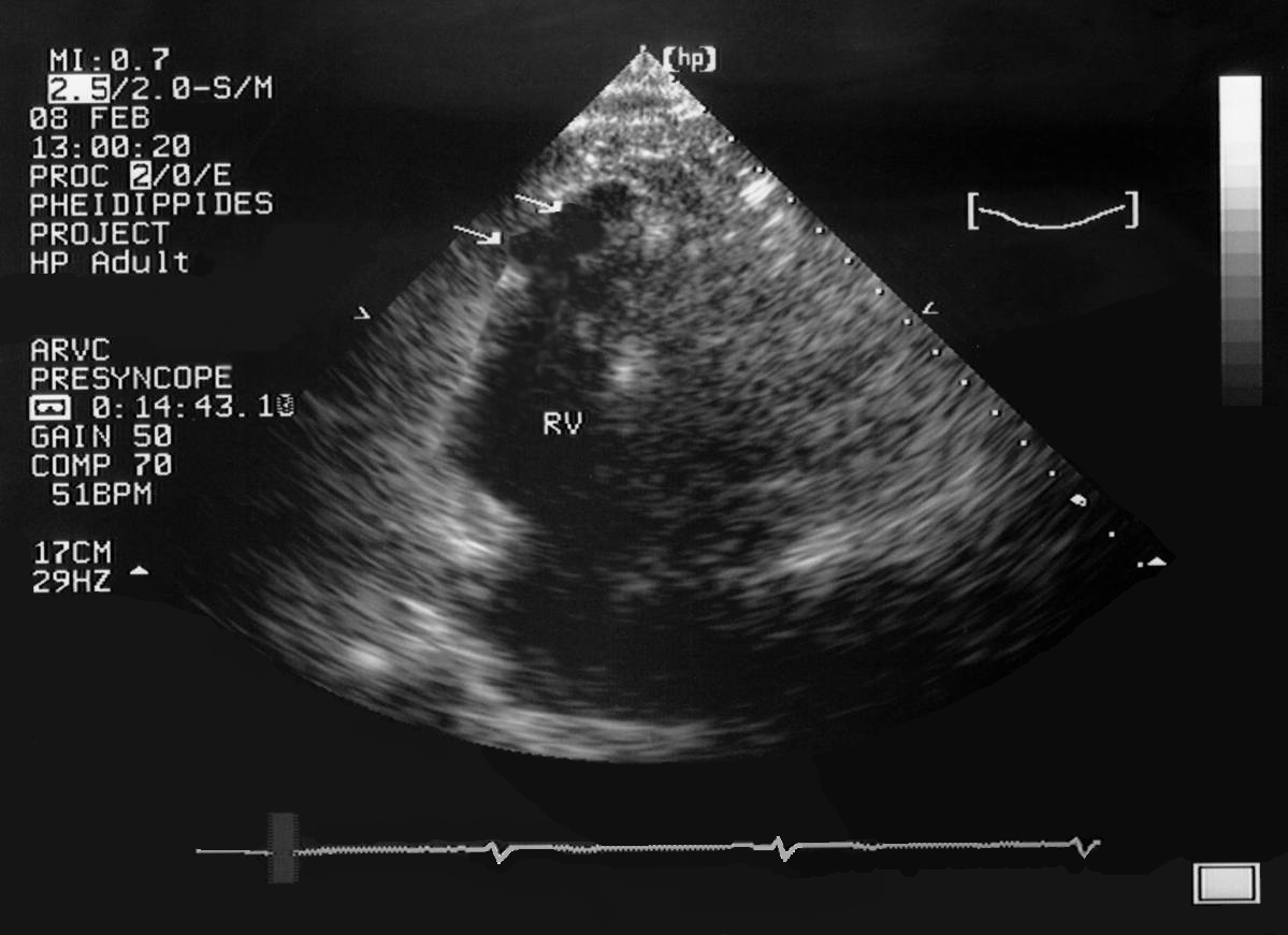
The proband’s uncle was the first family member to undergo clinical investigation. He had been diagnosed with arrhythmogenic right ventricular cardiomyopathy/dysplasia (ARVC/D) almost 5 years before his niece’s SCD. The proband was positive for a plakophilin-2 (PKP2) mutation and both her father and uncle had a typical form of the ARVC/D disease. To strengthen our diagnostic assessment an immunohistochemical analysis was undertaken of a myocardial sample obtained at autopsy, which pointed towards ARVC. Thus, her death was attributed to ARVC. Probably, the mutation had been inherited from her paternal grandfather. Although he had never been clinically evaluated, and no tissue was available for genetic analysis, he had a history of SCD at the age of 72, thus, raising suspicions of cardiac diseaseDownloads
Published
Issue
Section
License
Authors who publish with this journal agree to the following terms:a. Authors retain copyright and grant the journal right of first publication with the work simultaneously licensed under a Creative Commons Attribution License that allows others to share the work with an acknowledgement of the work's authorship and initial publication in this journal.
b. Authors are able to enter into separate, additional contractual arrangements for the non-exclusive distribution of the journal's published version of the work (e.g., post it to an institutional repository or publish it in a book), with an acknowledgement of its initial publication in this journal.
c. Authors are permitted and encouraged to post their work online (e.g., in institutional repositories or on their website) prior to and during the submission process, as it can lead to productive exchanges, as well as earlier and greater citation of published work (See The Effect of Open Access).