Invasive Aspergillosis as the Presenting Manifestation of Small-Cell Carcinoma
DOI:
https://doi.org/10.2015/hc.v9i1.563Keywords:
aspergillosis, Aspergillus fumingatus, orbital apex syndrome, immunosuppression, fungal infectionAbstract
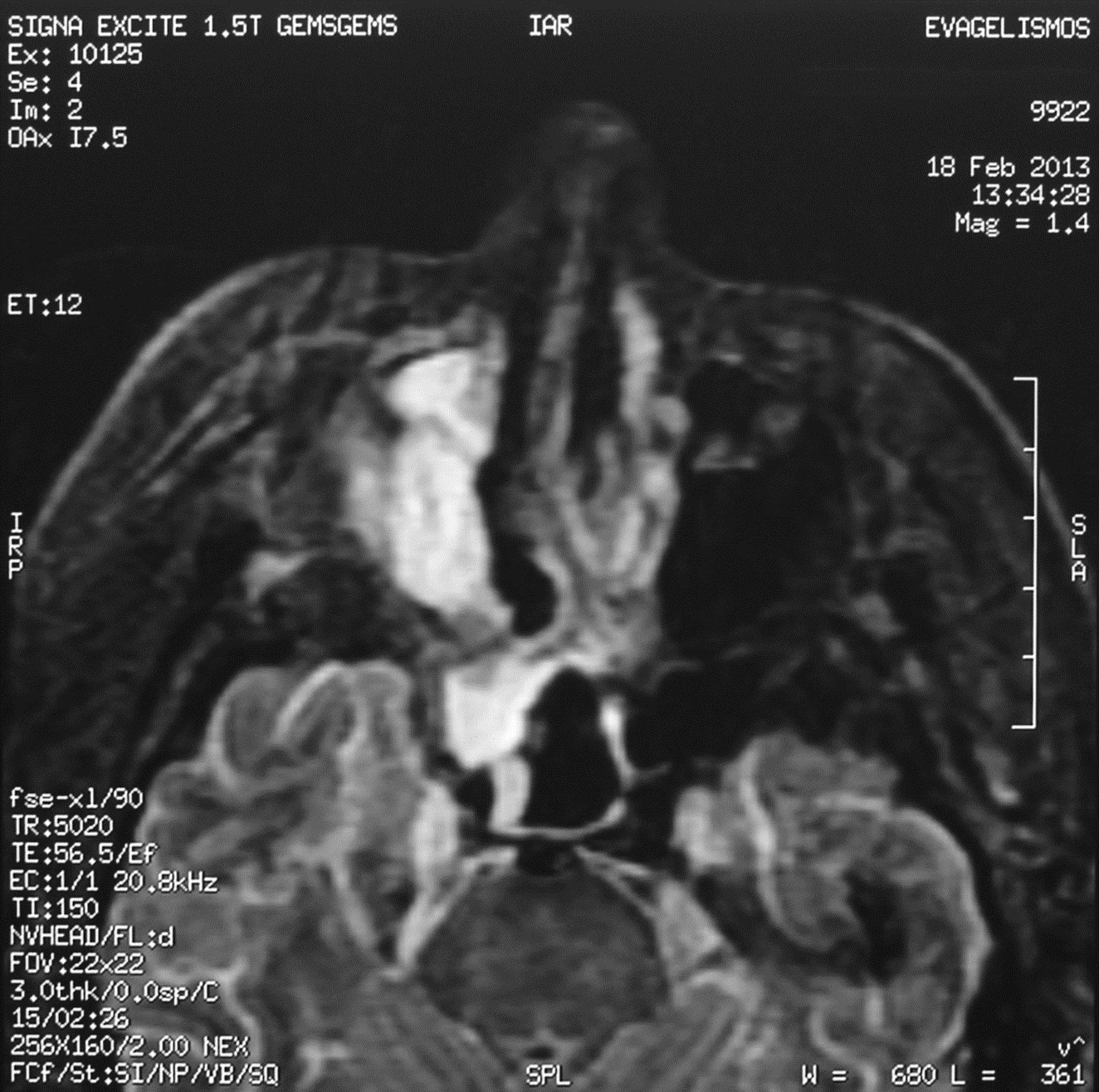
Invasive aspergillosisusually occurs in immunocompromised patients, particularly in patients with hematological malignancies because of severe and prolonged neutropenia and/orcytotoxic therapy. Therapy requires antifungal chemotherapy, with lipid-formulations of Amphotericin B or with azoles together with wide surgical excision of the fungal lesion. We report a case of invasive sino-orbital aspergillosis due to Aspergillus fumigatus in a patient with uncontrolled diabetes mellitus and small cell carcinoma. We support the notion that dual immunosuppression due to diabetes and small cell carcinoma with liver metastases was responsible for the invasive form of aspergillosis in this patient.Downloads
Additional Files
Published
Issue
Section
License
Authors who publish with this journal agree to the following terms:a. Authors retain copyright and grant the journal right of first publication with the work simultaneously licensed under a Creative Commons Attribution License that allows others to share the work with an acknowledgement of the work's authorship and initial publication in this journal.
b. Authors are able to enter into separate, additional contractual arrangements for the non-exclusive distribution of the journal's published version of the work (e.g., post it to an institutional repository or publish it in a book), with an acknowledgement of its initial publication in this journal.
c. Authors are permitted and encouraged to post their work online (e.g., in institutional repositories or on their website) prior to and during the submission process, as it can lead to productive exchanges, as well as earlier and greater citation of published work (See The Effect of Open Access).