Atrioventricular Nodal Reentrant Tachycardia in a Patient With Superior-Inferior Ventricles and Dextrocardia Treated With Cryoablation
DOI:
https://doi.org/10.2015/hc.v7i4.460Keywords:
AV nodal reentrant tachycardia, cryoablation, superior-inferior ventricles, criss-cross AV connectionAbstract
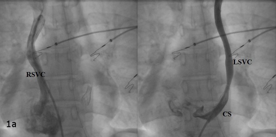
A 19-year-old female underwent repair of complex congenital heart disease (atrial and ventricular septal defect with a criss-cross atrioventricular relationship) in infancy. Because or recurrent palpitations she underwent an electrophysiology study. Atypical atrioventricular nodal reentrant tachycardia was diagnosed. Catheter ablation was performed successfully using cryothermal energy. The diagnostic and therapeutic approach is discussed.
Downloads
Additional Files
Published
Issue
Section
License
Authors who publish with this journal agree to the following terms:a. Authors retain copyright and grant the journal right of first publication with the work simultaneously licensed under a Creative Commons Attribution License that allows others to share the work with an acknowledgement of the work's authorship and initial publication in this journal.
b. Authors are able to enter into separate, additional contractual arrangements for the non-exclusive distribution of the journal's published version of the work (e.g., post it to an institutional repository or publish it in a book), with an acknowledgement of its initial publication in this journal.
c. Authors are permitted and encouraged to post their work online (e.g., in institutional repositories or on their website) prior to and during the submission process, as it can lead to productive exchanges, as well as earlier and greater citation of published work (See The Effect of Open Access).