Drainage of Post-Operative Abdominal and Pelvic Abscesses under the Guidance of Computed Tomography
DOI:
https://doi.org/10.2015/hc.v7i1.436Keywords:
postoperative abscess, percutaneous drainage, computed tomography, laparotomyAbstract
BACKGROUND: Cross sectional imaging and specifically computed tomography (CT) has become the main radiological modality of detecting post-surgical abdominal collections and abscesses. Percutaneous abscess drainage (PAD) has revolutionized the treatment of abscesses, especially of post-surgical abdominal abscesses over the last 25 years; repeat laparotomy is a rare event due to the fact that the success rate of PAD is very high (90-95%) and complications are few (0-10%).OBJECTIVE: The aim of the study is to present our experience in the department of computed tomography of the percutaneous drainage of post-operative abdominal and pelvic abscesses.
PATIENTS AND METHODS: During the last two and a half years, 93 post-operative patients were referred to the CT department for drainage of a post-surgical abscess in the abdomen or pelvis at 9-21 days post-operatively due to persistent fever. A total of 95 abscesses were drained; 84 were located in the abdomen and 11 in the pelvis. Abscess diameters ranged between 2 and 12 cm. A percutaneous drainage technique under CT-guidance was employed in all patients; 98 catheters were placed with use of the Seldinger technique. A transgluteal paracoccygeal approach was adopted in 11 patients. Aspiration of an intra-loop abscess was performed in 1 patient. The tilted gantry technique was utilized in 2 cases.
RESULTS: Eighty-nine (95.7%) patients were successfully treated. In 4 (4.3%) patients the abscesses were partially drained, patients were stabilized and subsequently treated via laparotomy. Complications included inflammation of the skin at the entry site in 4 patients, pneumothorax in 1 patient, and displacement of the catheter in 12 patients, one involving catheter migration into the duodenum. Major complications did not occur.
CONCLUSION: Percutaneous drainage of post-operative abdominal and pelvic abscesses was a safe and effective method of abscess management in our series with a 95.7% success rate and absent major complications. It is currently a widely used procedure, eliminating the need for repeat laparotomy in the majority of patients. Proper catheter management is essential for the successful outcome.
Downloads
Additional Files
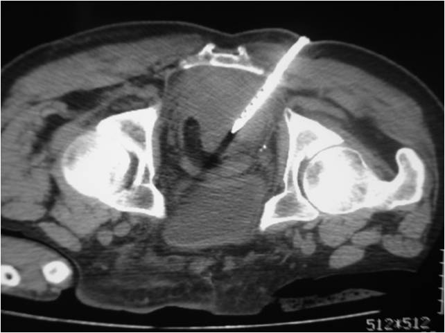
- Placement of a nephrostomy and sump caheter through the greater sciatic foramen into a deep pelvic abscess.
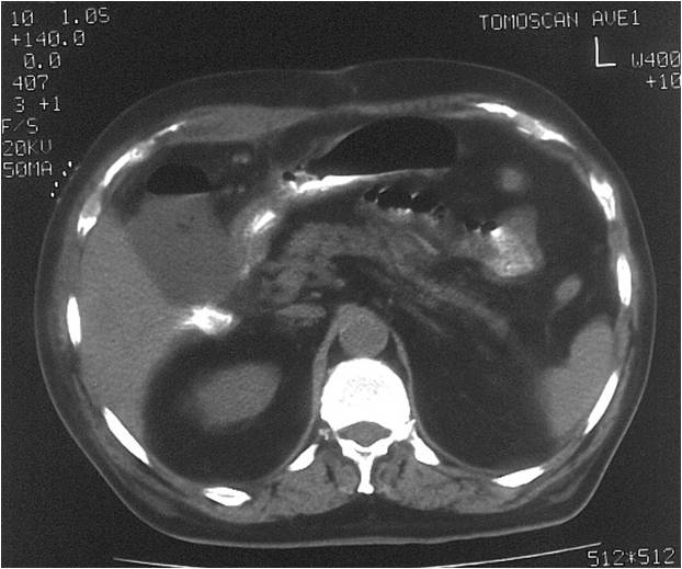
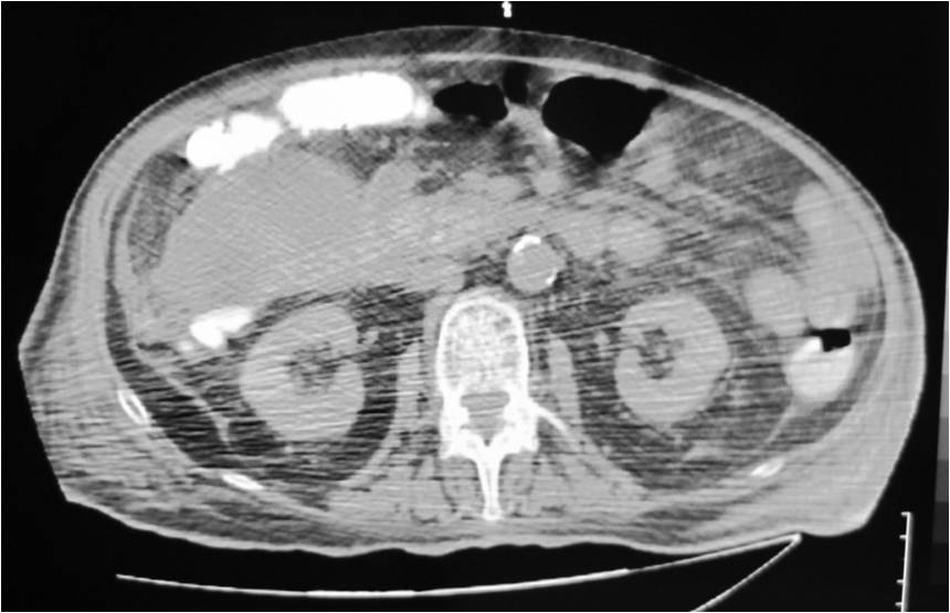
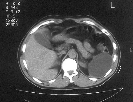
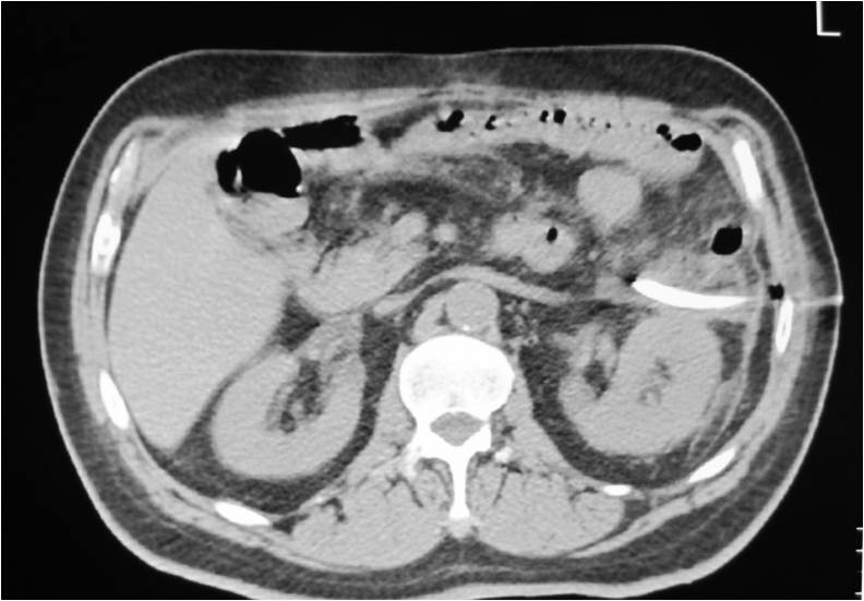
- Abscess post right hemicolectomy
- Successful placement and drainage
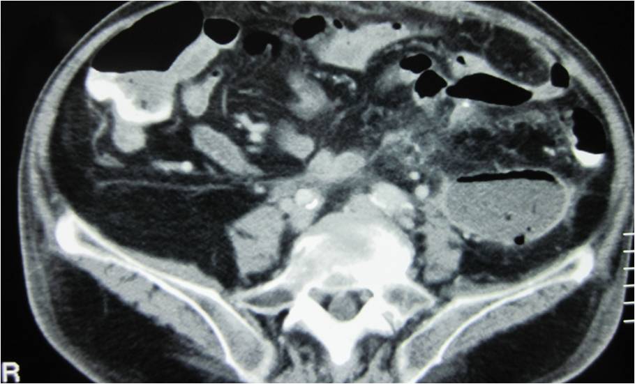
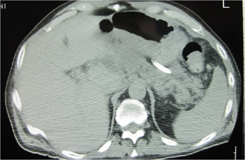
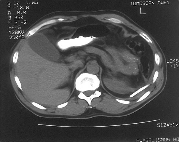
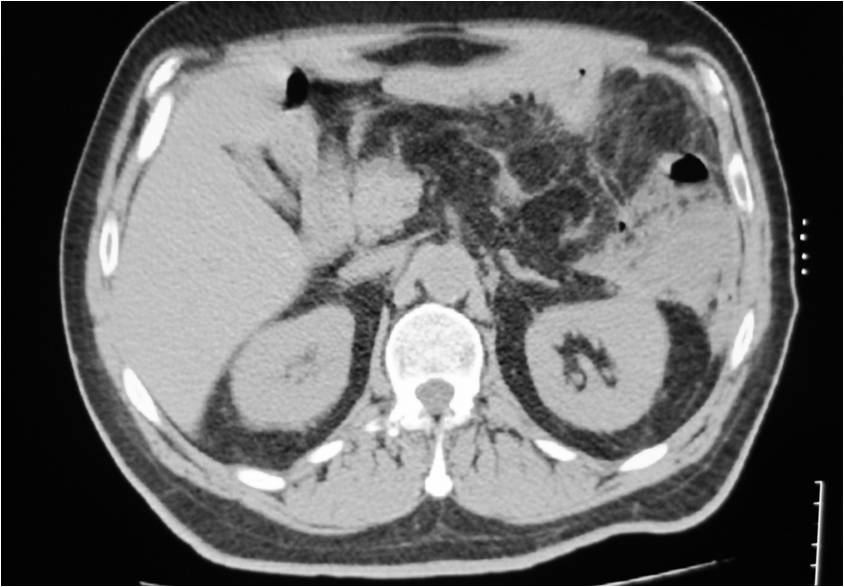
- Abscess post left hemicolectomy
- Successful placement and drainage
- Successful placement in sub-hepatic abscess post right hemicolectomy
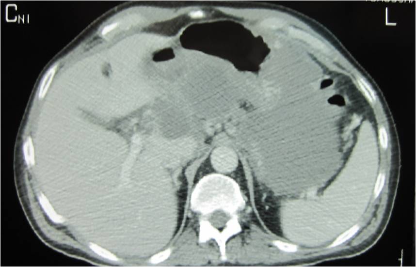
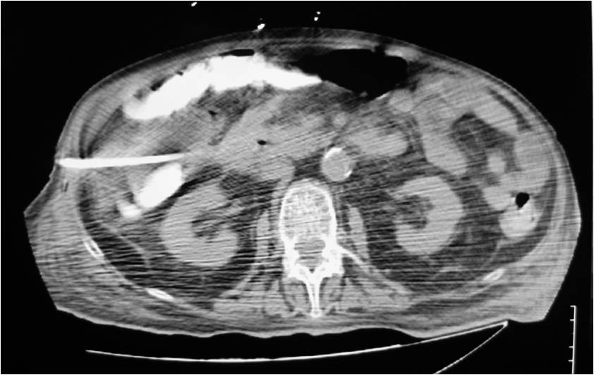
- Large abdominal abscess post- pancreatic surgery
- Successful drainage
- Abscess post left hemicolectomy
- Successful placement and drainage
- Abscess in gallbladder fossa post-colocystectomy
- Successful placement of catheter
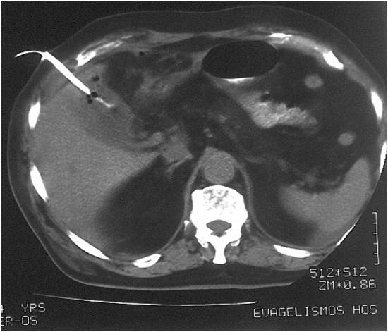
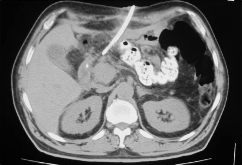
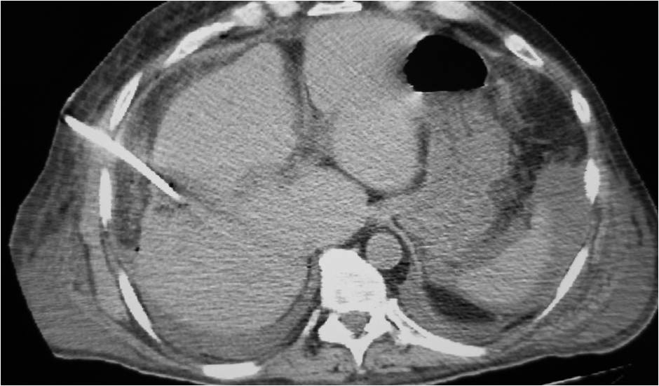
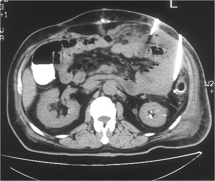
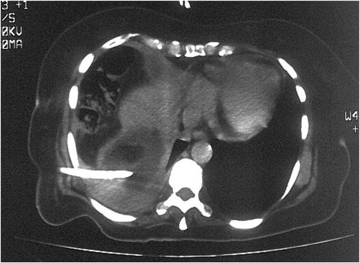
- Right sub diaphragmatic abscess post right hemicolectomy
- Successful drainage
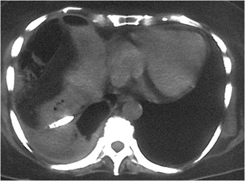
- Post splenectomy abscess
- Successful drainage
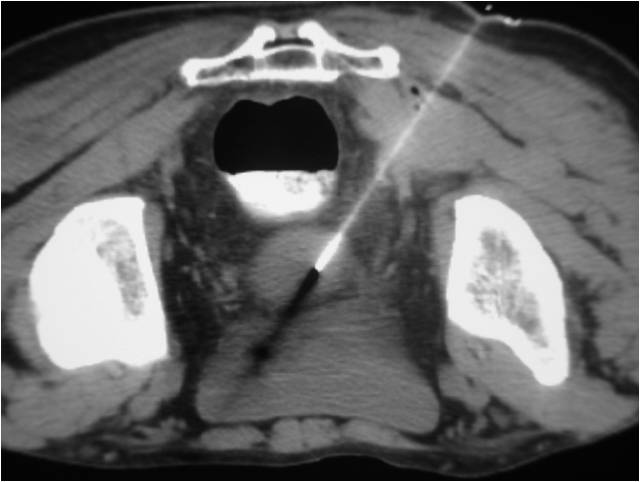
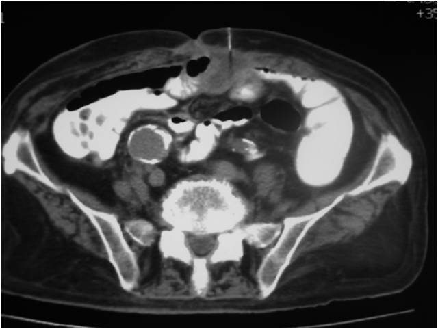
- Paracentisis of a deep pelvic abscess
- Successful catheter placement in a deep pelvic abscess
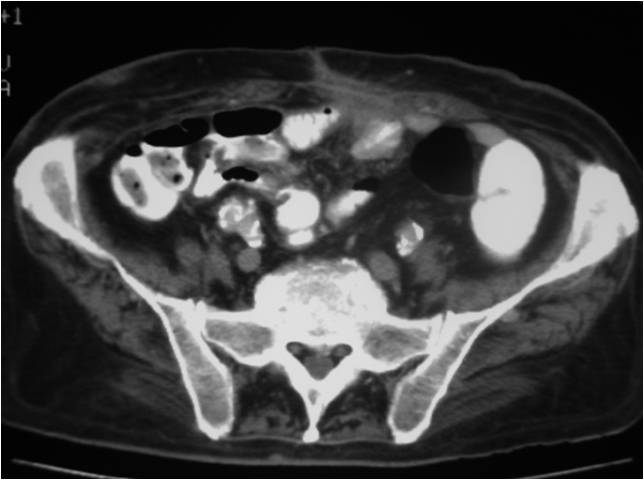
- Paracentisis of an intra-loop abscess
- Successful drainage
- Roentgenogram depicting the nephrostomy catheter in the duodenum after the infusion of contrast media through the catheter
- Catheter placement next to the duodenum for prevention of fluid collection
- Placement of two sump catheters in a abdominal abscess (surgery of inflammatory bowel disease), displacement of upper one
Published
Issue
Section
License
Authors who publish with this journal agree to the following terms:a. Authors retain copyright and grant the journal right of first publication with the work simultaneously licensed under a Creative Commons Attribution License that allows others to share the work with an acknowledgement of the work's authorship and initial publication in this journal.
b. Authors are able to enter into separate, additional contractual arrangements for the non-exclusive distribution of the journal's published version of the work (e.g., post it to an institutional repository or publish it in a book), with an acknowledgement of its initial publication in this journal.
c. Authors are permitted and encouraged to post their work online (e.g., in institutional repositories or on their website) prior to and during the submission process, as it can lead to productive exchanges, as well as earlier and greater citation of published work (See The Effect of Open Access).