Indications of Cardiac CT and Coronary CT angiography: A Review
DOI:
https://doi.org/10.2015/hc.v6i2.381Keywords:
puted tomography, heart, coronary arteries.Abstract
Abstract
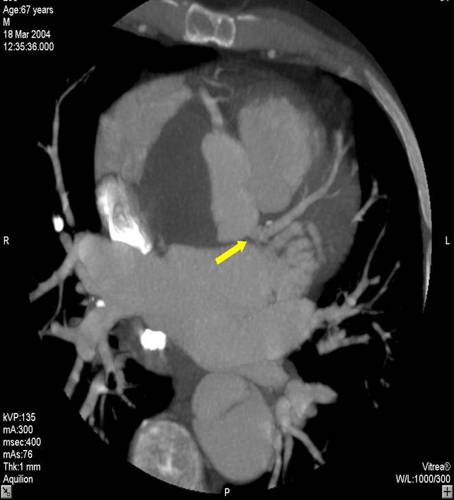
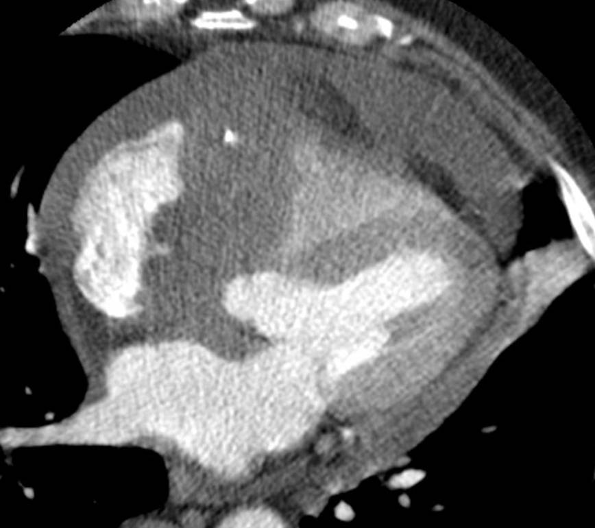
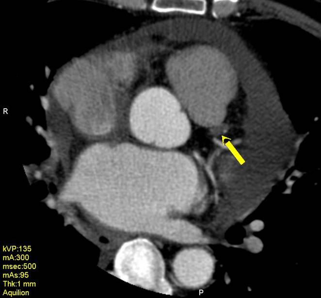
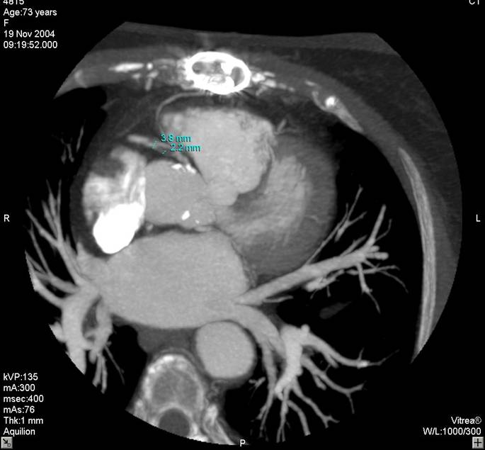
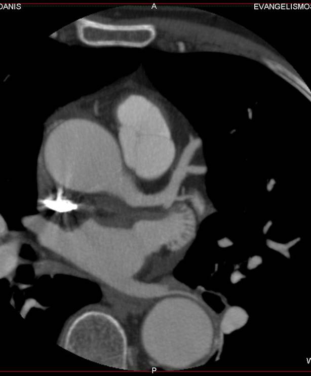
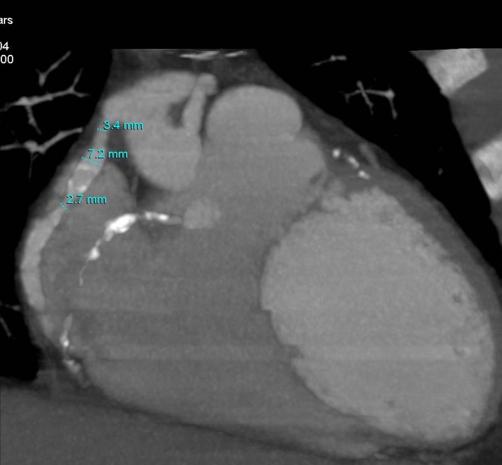
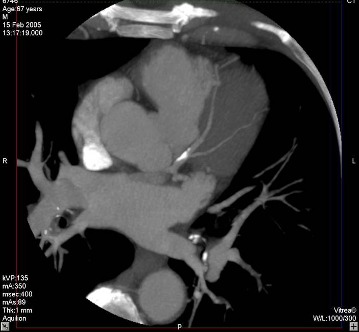
The non-invasive imaging modality of multi-detector computed tomography has dramatically evolved the last ten years and that is due to hardware and software developments. The newer generation of scanners allows increased spatial and temporal resolution that improves the clinical reliability giving further insights into the evaluation of coronary artery disease. Heart morphology imaging followed by studies of myocardial function and assessment of cardiac valves can be performed from the information derived from the data of the coronary artery examination. Also, the venous anatomy of the heart, coronary artery bypass grafts, stents, and cardiac tumors can be imaged and evaluated when necessary. For the beneficial use of this method, entrance criteria for different patient groups need to be set in order to allow improved outcome of multi-detector CT.
Downloads
Additional Files
Published
Issue
Section
License
Authors who publish with this journal agree to the following terms:a. Authors retain copyright and grant the journal right of first publication with the work simultaneously licensed under a Creative Commons Attribution License that allows others to share the work with an acknowledgement of the work's authorship and initial publication in this journal.
b. Authors are able to enter into separate, additional contractual arrangements for the non-exclusive distribution of the journal's published version of the work (e.g., post it to an institutional repository or publish it in a book), with an acknowledgement of its initial publication in this journal.
c. Authors are permitted and encouraged to post their work online (e.g., in institutional repositories or on their website) prior to and during the submission process, as it can lead to productive exchanges, as well as earlier and greater citation of published work (See The Effect of Open Access).