Adalimumab-Associated Isolated Splenic Tuberculosis In A Patient With Psoriasis Following A Negative Screening With Tuberculin Skin Test And QuantiFERON-Gold
DOI:
https://doi.org/10.2015/hc.v5i4.238Abstract
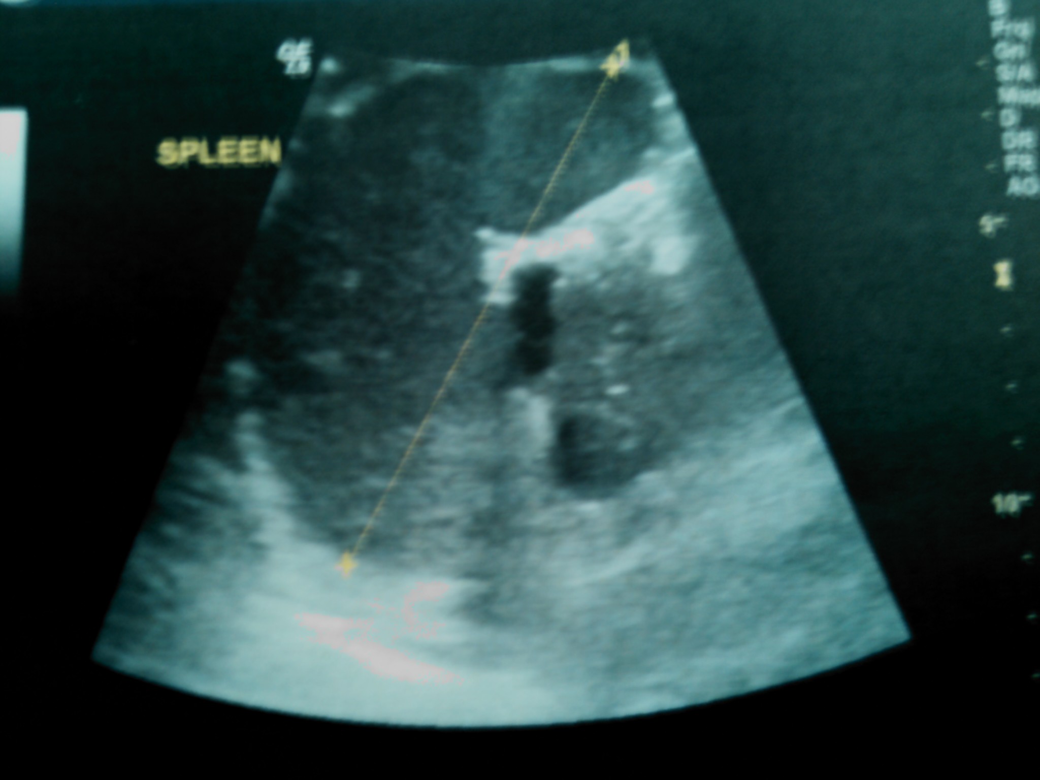
We describe a rare form of extrapulmonary tuberculosis and, to our knowledge, the first reported case of isolated splenic tuberculosis in association with adalimumab treatment. In addition, our case demonstrates that the interpretation of a negative tuberculin skin test may prove problematic even in otherwise healthy individuals with no predisposing factors, especially in the face of biologic treatment. A history of BCG vaccination in adulthood may pose additional burdens in the evaluation of such patients facing the risks of anti-TNF agents. As to QuantiFERON, further investigation is warranted in order to be incorporated in the screening for latent tuberculosis infection.Downloads
Additional Files
Published
Issue
Section
License
Authors who publish with this journal agree to the following terms:a. Authors retain copyright and grant the journal right of first publication with the work simultaneously licensed under a Creative Commons Attribution License that allows others to share the work with an acknowledgement of the work's authorship and initial publication in this journal.
b. Authors are able to enter into separate, additional contractual arrangements for the non-exclusive distribution of the journal's published version of the work (e.g., post it to an institutional repository or publish it in a book), with an acknowledgement of its initial publication in this journal.
c. Authors are permitted and encouraged to post their work online (e.g., in institutional repositories or on their website) prior to and during the submission process, as it can lead to productive exchanges, as well as earlier and greater citation of published work (See The Effect of Open Access).