Transradial Percutaneous Coronary Intervention in Acute Coronary Syndromes: a Case Report and Review of the Literature
DOI:
https://doi.org/10.2015/hc.v4i4.161Keywords:
radial approach, acute coronary syndromes, percutaneous coronary interventionAbstract
The radial approach to perform coronary angiography and percutaneous coronary interventions (PCI) is currently supported by voluminous literature and has been repetitively shown to minimize access site related complications, reduce hospitalization time and costs and increase patient comfort compared to the femoral approach. Most importantly, in acute coronary syndromes the radial access has the potential to significantly decrease serious bleeding complications, which are related to increased morbidity and mortality rates. Despite gradually gaining popularity the radial approach is still used in only a small fraction of the total number of coronary procedures.
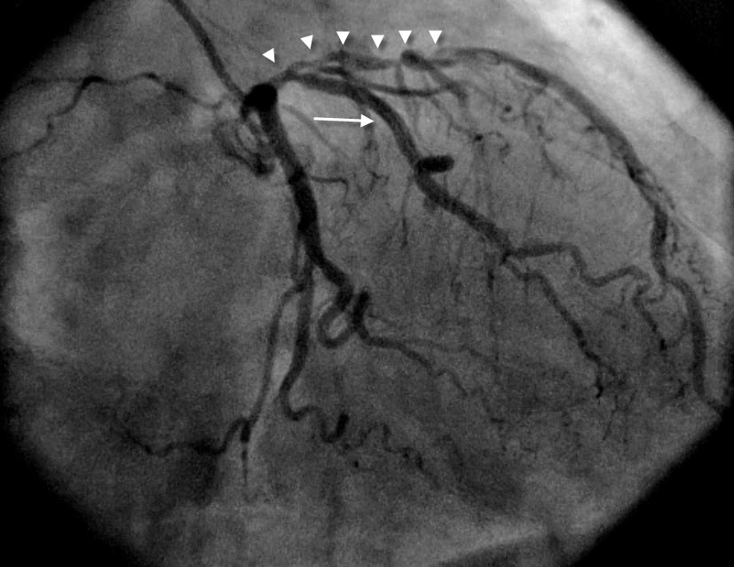
We present herein the case of a woman suffering from acute inferior myocardial infarction referred to our hospital for emergency catheterization after failed fibrinolysis and treated successfully with transradial rescue PCI. The case presentation is followed by a concise overview of data supporting the wider use of the radial approach, especially focusing on acute coronary syndromes.
Downloads
Published
Issue
Section
License
Authors who publish with this journal agree to the following terms:a. Authors retain copyright and grant the journal right of first publication with the work simultaneously licensed under a Creative Commons Attribution License that allows others to share the work with an acknowledgement of the work's authorship and initial publication in this journal.
b. Authors are able to enter into separate, additional contractual arrangements for the non-exclusive distribution of the journal's published version of the work (e.g., post it to an institutional repository or publish it in a book), with an acknowledgement of its initial publication in this journal.
c. Authors are permitted and encouraged to post their work online (e.g., in institutional repositories or on their website) prior to and during the submission process, as it can lead to productive exchanges, as well as earlier and greater citation of published work (See The Effect of Open Access).